A Perfectly Straight Smile with Invisalign - from £1750
Straighten crooked & Gappy Teeth with Invisalign Clear Braces
- FREE Assessment & 3D Scan with a Dentist [worth £350]
- FREE Teeth Whitening [worth £450]
- FREE Retainers [worth £400]
- 0% Payment plans from £45 / month*
SPEAK WITH OUR QUALIFIED EXPERTS TODAY
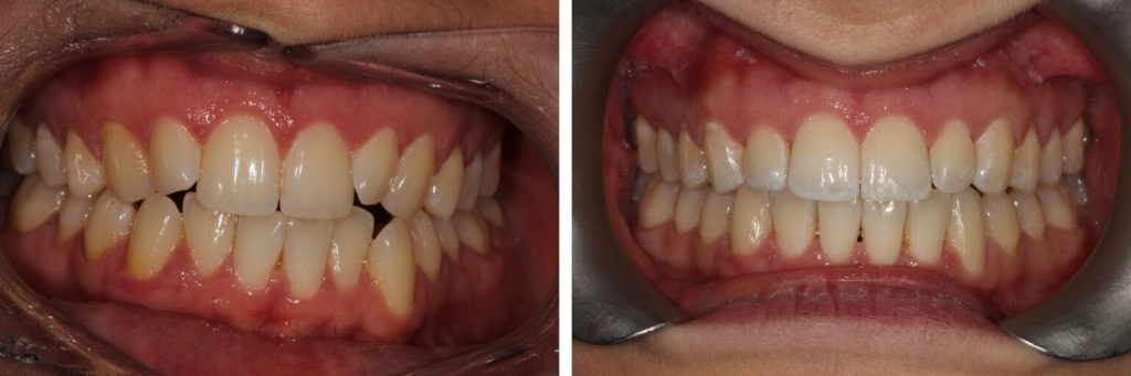
See Invisalign Before & After Results
Here's how your new smile could look after Invisalign if you join the 1000's of patients who transformed their smiles with Invisalign Braces
Vincent had crowded upper teeth that narrowed his smile and an open bite
Mikala's biggest problem was her central tooth that stuck out
Kirsty's teeth were overcrowded with overlapping central teeth
FREE ‘Invisalign’ Assessment usually £50
Invisalign Has Straightened Over 7 million Smiles
Invisalign is the most popular clear aligner system in the world. It’s convenient for your lifestyle and most people won’t even notice you are wearing them.
Invisalign is an exciting way to straighten your teeth without traditional ‘train track’ metal braces. It works by using a series of clear aligners. which are almost invisible to the naked eye, and you can remove them quickly and easily – to eat, clean your teeth or attend special occasions without them getting in the way!
How Invisalign Works – Simple, Quick & Effective
Invisalign works by using a series of clear, Smarttrack® plastic aligners which designed using the latest 3D printing and scanning technology. When you start your treatment you will be able to see a virtual 3D simulation (Clincheck) of how your teeth will move over time.
The aligners gradually move your teeth, painlessly and step by step. Every couple of weeks you will change your aligners to the next set until they are perfectly straight.
Invisalign Confidence Transformations
Watch these stories to learn about the life-changing impact Invisalign had on their lives
Mikala’s Story
Jason’s Story
Kirsty’s Story
See How Your Teeth Will Move!
The Invisalign Clincheck will help you visualise how your teeth will move over time
View your Smile in 60
seconds You are moments away from seeing how great your new smile can be.
Click the button below and upload your smile picture to view how Invisalign treatment can give you a new smile.
Get a FREE Invisalign Consultation at
Gerrards Cross Dentist
Book a FREE Invisalign Consultation
Want straight teeth quickly but don't want metal braces?
Speak to our teeth straightening experts to find out if Invisalign is right for you.
- Completely FREE & No-Obligation
Customers Love Us! We Are Highly Rated On:
Why Should You Choose Us?
- We are committed to providing the best possible care
- We use advanced technology in our treatments
- We offer reasonably priced independent care
- No diet restrictions & irritation from metal wires with clear aligners
- See how your future smile will look like with the Digital iTero scanner
- Finance and payment plans are available
Don't Take Our Word For It
See how Invisalign is made
Practice Gallery
Thank you for visiting our website. We know you will be as excited as we are about the world of dental possibilities to improve your oral health and create beautiful smiles.
We offer treatments entailing all aspects of dentistry – cosmetic and routine. Our principal aim is to provide high quality dentistry in a comfortable and relaxed environment. We use the latest techniques and technologies available in dentistry today. Come and see what today's Dentistry can do for your smile, image and self-confidence.
FOLLOW US ON INSTAGRAM
Opening Hours
| Monday to Friday | 9:00 AM – 6:00 PM |
| Saturday | 9:00 AM – 2:00 PM |
| Sunday | Closed |
Address
Gerrards Cross Dentist, 75 Packhorse Road, Gerrards Cross SL9 8QP







